Implantatkronen & Implantatbrücken

Zahnarzt Winterthur, www.winterthur-zahnarzt.ch,PD Dr. med. dent. Anja Zembic, Zahnarztpraxis Im Falkengarten, Nähe Hauptbahnhof an zentraler Lage, Parkhaus Manor, Treppenlift vorhanden. Implantologie, Zahnersatz, spezialisiert auf Angstpatienten, De

Implantatkrone

Zahnarzt Winterthur, www.winterthur-zahnarzt.ch,PD Dr. med. dent. Anja Zembic, Zahnarztpraxis Im Falkengarten, Nähe Hauptbahnhof an zentraler Lage, Parkhaus Manor, Treppenlift vorhanden. Implantologie, Zahnersatz, spezialisiert auf Angstpatienten, De

Implantatkrone mit Anhänger

Zahnarzt Winterthur, www.winterthur-zahnarzt.ch,PD Dr. med. dent. Anja Zembic, Zahnarztpraxis Im Falkengarten, Nähe Hauptbahnhof an zentraler Lage, Parkhaus Manor, Treppenlift vorhanden. Implantologie, Zahnersatz, spezialisiert auf Angstpatienten, De

verblockte Implantatkronen

Zahnarzt Winterthur, www.winterthur-zahnarzt.ch,PD Dr. med. dent. Anja Zembic, Zahnarztpraxis Im Falkengarten, Nähe Hauptbahnhof an zentraler Lage, Parkhaus Manor, Treppenlift vorhanden. Implantologie, Zahnersatz, spezialisiert auf Angstpatienten, De

Implantatbrücke


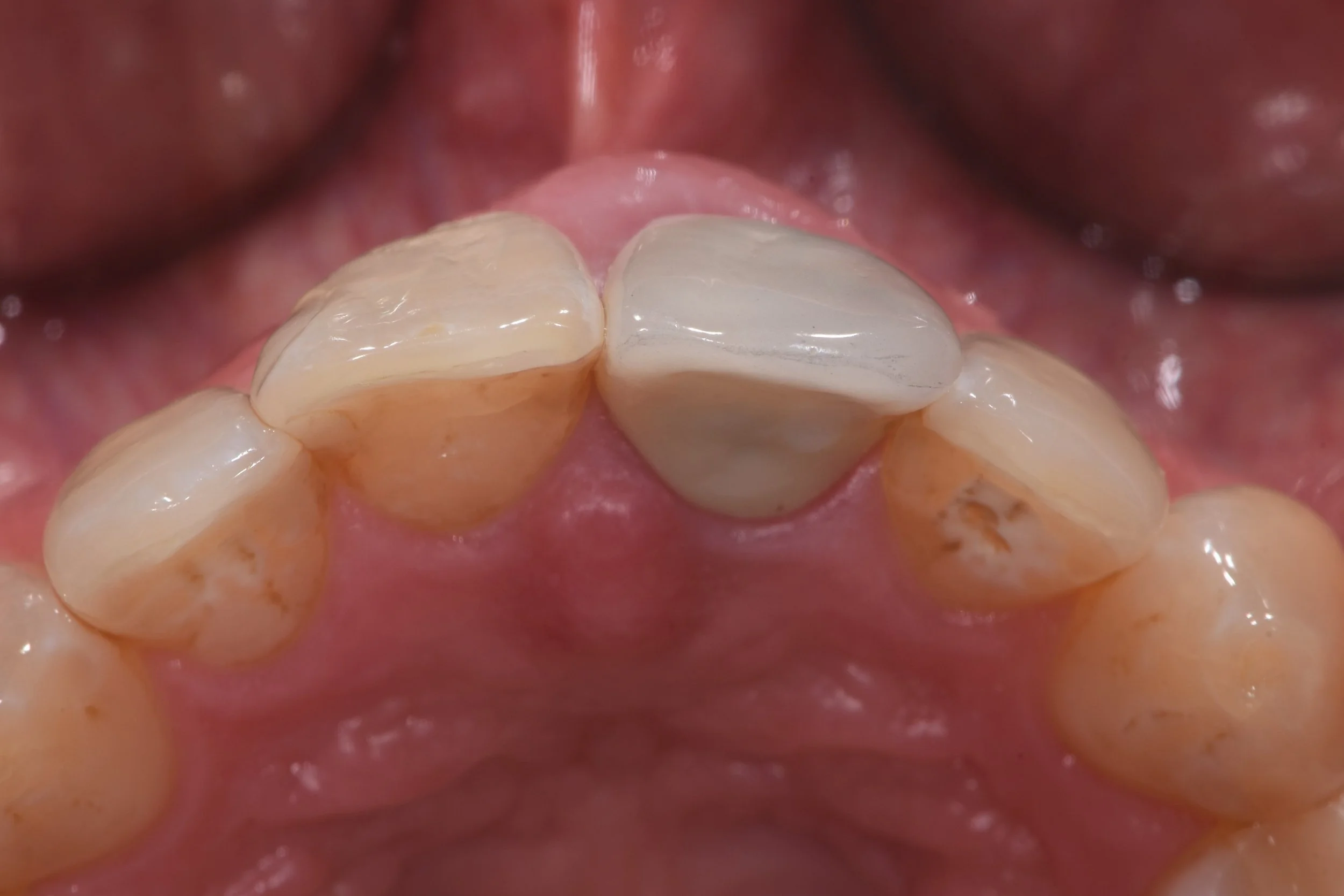
Implantatkrone Frontzahn

Patientin 1

vorher

nachher

vorher

nachher

vorher

nachher

Patient 2

vorher

nachher

vorher

nachher

vorher

nachher

Implantatkrone Seitenzahn

Patientin 1

Zahnarzt Winterthur, www.winterthur-zahnarzt.ch,PD Dr. med. dent. Anja Zembic, Zahnarztpraxis Im Falkengarten, Nähe Hauptbahnhof an zentraler Lage, Parkhaus Manor, Treppenlift vorhanden. Implantologie, Zahnersatz, spezialisiert auf Angstpatienten, De

vorher links mit UK Klammerprothese

Zahnarzt Winterthur, www.winterthur-zahnarzt.ch,PD Dr. med. dent. Anja Zembic, Zahnarztpraxis Im Falkengarten, Nähe Hauptbahnhof an zentraler Lage, Parkhaus Manor, Treppenlift vorhanden. Implantologie, Zahnersatz, spezialisiert auf Angstpatienten, De

vorher links ohne UK Klammerprothese

Zahnarzt Winterthur, www.winterthur-zahnarzt.ch,PD Dr. med. dent. Anja Zembic, Zahnarztpraxis Im Falkengarten, Nähe Hauptbahnhof an zentraler Lage, Parkhaus Manor, Treppenlift vorhanden. Implantologie, Zahnersatz, spezialisiert auf Angstpatienten, De

nachher links mit Implantatkronen

Zahnarzt Winterthur, www.winterthur-zahnarzt.ch,PD Dr. med. dent. Anja Zembic, Zahnarztpraxis Im Falkengarten, Nähe Hauptbahnhof an zentraler Lage, Parkhaus Manor, Treppenlift vorhanden. Implantologie, Zahnersatz, spezialisiert auf Angstpatienten, De

vorher rechts mit UK Klammerprothese

Zahnarzt Winterthur, www.winterthur-zahnarzt.ch,PD Dr. med. dent. Anja Zembic, Zahnarztpraxis Im Falkengarten, Nähe Hauptbahnhof an zentraler Lage, Parkhaus Manor, Treppenlift vorhanden. Implantologie, Zahnersatz, spezialisiert auf Angstpatienten, De

vorher rechts ohne UK Klammerprothese

Zahnarzt Winterthur, www.winterthur-zahnarzt.ch,PD Dr. med. dent. Anja Zembic, Zahnarztpraxis Im Falkengarten, Nähe Hauptbahnhof an zentraler Lage, Parkhaus Manor, Treppenlift vorhanden. Implantologie, Zahnersatz, spezialisiert auf Angstpatienten, De

nachher rechts mit Implantatbrücke

Zahnarzt Winterthur, www.winterthur-zahnarzt.ch,PD Dr. med. dent. Anja Zembic, Zahnarztpraxis Im Falkengarten, Nähe Hauptbahnhof an zentraler Lage, Parkhaus Manor, Treppenlift vorhanden. Implantologie, Zahnersatz, spezialisiert auf Angstpatienten, De

vorher in Aufsicht

Zahnarzt Winterthur, www.winterthur-zahnarzt.ch,PD Dr. med. dent. Anja Zembic, Zahnarztpraxis Im Falkengarten, Nähe Hauptbahnhof an zentraler Lage, Parkhaus Manor, Treppenlift vorhanden. Implantologie, Zahnersatz, spezialisiert auf Angstpatienten, De

während Behandlung, Implantat sichtbar

Zahnarzt Winterthur, www.winterthur-zahnarzt.ch,PD Dr. med. dent. Anja Zembic, Zahnarztpraxis Im Falkengarten, Nähe Hauptbahnhof an zentraler Lage, Parkhaus Manor, Treppenlift vorhanden. Implantologie, Zahnersatz, spezialisiert auf Angstpatienten, De

nachher mit Implantat-/Zahnkronen

Zahnarzt Winterthur, www.winterthur-zahnarzt.ch,PD Dr. med. dent. Anja Zembic, Zahnarztpraxis Im Falkengarten, Nähe Hauptbahnhof an zentraler Lage, Parkhaus Manor, Treppenlift vorhanden. Implantologie, Zahnersatz, spezialisiert auf Angstpatienten, De

vorher mit UK Klammerprothese

Zahnarzt Winterthur, www.winterthur-zahnarzt.ch,PD Dr. med. dent. Anja Zembic, Zahnarztpraxis Im Falkengarten, Nähe Hauptbahnhof an zentraler Lage, Parkhaus Manor, Treppenlift vorhanden. Implantologie, Zahnersatz, spezialisiert auf Angstpatienten, De

vorher ohne Klammerprothese

Zahnarzt Winterthur, www.winterthur-zahnarzt.ch,PD Dr. med. dent. Anja Zembic, Zahnarztpraxis Im Falkengarten, Nähe Hauptbahnhof an zentraler Lage, Parkhaus Manor, Treppenlift vorhanden. Implantologie, Zahnersatz, spezialisiert auf Angstpatienten, De

nachher mit Implantaten

Zahnarzt Winterthur, www.winterthur-zahnarzt.ch,PD Dr. med. dent. Anja Zembic, Zahnarztpraxis Im Falkengarten, Nähe Hauptbahnhof an zentraler Lage, Parkhaus Manor, Treppenlift vorhanden. Implantologie, Zahnersatz, spezialisiert auf Angstpatienten, De

nachher mit Implantatkronen

Patient 2

Zahnarzt Winterthur, www.winterthur-zahnarzt.ch,PD Dr. med. dent. Anja Zembic, Zahnarztpraxis Im Falkengarten, Nähe Hauptbahnhof an zentraler Lage, Parkhaus Manor, Treppenlift vorhanden. Implantologie, Zahnersatz, spezialisiert auf Angstpatienten, De

vorher

Zahnarzt Winterthur, www.winterthur-zahnarzt.ch,PD Dr. med. dent. Anja Zembic, Zahnarztpraxis Im Falkengarten, Nähe Hauptbahnhof an zentraler Lage, Parkhaus Manor, Treppenlift vorhanden. Implantologie, Zahnersatz, spezialisiert auf Angstpatienten, De

nachher


Implantat-getragene Prothesen

Zahnarzt Winterthur, www.winterthur-zahnarzt.ch,PD Dr. med. dent. Anja Zembic, Zahnarztpraxis Im Falkengarten, Nähe Hauptbahnhof an zentraler Lage, Parkhaus Manor, Treppenlift vorhanden. Implantologie, Zahnersatz, spezialisiert auf Angstpatienten, De
Zahnarzt Winterthur, www.winterthur-zahnarzt.ch,PD Dr. med. dent. Anja Zembic, Zahnarztpraxis Im Falkengarten, Nähe Hauptbahnhof an zentraler Lage, Parkhaus Manor, Treppenlift vorhanden. Implantologie, Zahnersatz, spezialisiert auf Angstpatienten, De
Zahnarzt Winterthur, www.winterthur-zahnarzt.ch,PD Dr. med. dent. Anja Zembic, Zahnarztpraxis Im Falkengarten, Nähe Hauptbahnhof an zentraler Lage, Parkhaus Manor, Treppenlift vorhanden. Implantologie, Zahnersatz, spezialisiert auf Angstpatienten, De
Zahnarzt Winterthur, www.winterthur-zahnarzt.ch,PD Dr. med. dent. Anja Zembic, Zahnarztpraxis Im Falkengarten, Nähe Hauptbahnhof an zentraler Lage, Parkhaus Manor, Treppenlift vorhanden. Implantologie, Zahnersatz, spezialisiert auf Angstpatienten, De

Patient 1

Prothese Druckknopf-getragen

Zahnarzt Winterthur, www.winterthur-zahnarzt.ch,PD Dr. med. dent. Anja Zembic, Zahnarztpraxis Im Falkengarten, Nähe Hauptbahnhof an zentraler Lage, Parkhaus Manor, Treppenlift vorhanden. Implantologie, Zahnersatz, spezialisiert auf Angstpatienten, De

Oberkiefer mit Druckknöpfen

Zahnarzt Winterthur, www.winterthur-zahnarzt.ch,PD Dr. med. dent. Anja Zembic, Zahnarztpraxis Im Falkengarten, Nähe Hauptbahnhof an zentraler Lage, Parkhaus Manor, Treppenlift vorhanden. Implantologie, Zahnersatz, spezialisiert auf Angstpatienten, De

Prothese ohne Gaumenabdeckung

Patientin 2

Zahnarzt Winterthur, www.winterthur-zahnarzt.ch,PD Dr. med. dent. Anja Zembic, Zahnarztpraxis Im Falkengarten, Nähe Hauptbahnhof an zentraler Lage, Parkhaus Manor, Treppenlift vorhanden. Implantologie, Zahnersatz, spezialisiert auf Angstpatienten, De

Prothese Steg-getragen

Zahnarzt Winterthur, www.winterthur-zahnarzt.ch,PD Dr. med. dent. Anja Zembic, Zahnarztpraxis Im Falkengarten, Nähe Hauptbahnhof an zentraler Lage, Parkhaus Manor, Treppenlift vorhanden. Implantologie, Zahnersatz, spezialisiert auf Angstpatienten, De

Unterkiefer mit Steg

Unterkieferprothese Steg-getragen