Ästhetische Zahnstellungskorrektur

Digitale Technologien erlauben «unsichtbare» Korrekturen der Zahnstellung oder einzelner Zähne mit Hilfe durchsichtiger Schienen. Mit einem digitalen Abdruck wird die aktuelle Situation erfasst. Nach dem Scan dient das virtuelle Zahnmodell zur Behandlungsplanung und Herstellung der Schienen. Diese müssen durchgehend 1-2 Wochen getragen werden, ausser zum Essen und Zähneputzen. Der Behandlungserfolg hängt massgeblich von der maximalen Tragezeit ab, damit sich die Zähne in die gewünschte Position bewegen.

Gerne beraten wir Sie in einem persönlichen Gespräch.

Korrektur Oberkiefer Front

Patient 1

Zahnarzt Winterthur, PD Dr. med. dent. Anja Zembic, Zahnarztpraxis Im Falkengarten, Nähe Hauptbahnhof an zentraler Lage, Parkhaus Manor, Treppenlift, durchsichtige Zahnspange, spezialisiert auf Angstpatientenorhan, Dentalhygiene, Wurzel – und Z

vorher

Zahnarzt Winterthur, PD Dr. med. dent. Anja Zembic, Zahnarztpraxis Im Falkengarten, Nähe Hauptbahnhof an zentraler Lage, Parkhaus Manor, Treppenlift vorhanden, durchsichtige Zahnspange, spezialisiert auf Angstpatienten, Dentalhygiene, Wurzel – und Za

nachher

Zahnarzt Winterthur, PD Dr. med. dent. Anja Zembic, Zahnarztpraxis Im Falkengarten, Nähe Hauptbahnhof an zentraler Lage, Parkhaus Manor, Treppenlift vorhanden, durchsichtige Zahnspange, spezialisiert auf Angstpatienten, Dentalhygiene, Wurzel – und Za

vorher

Zahnarzt Winterthur, PD Dr. med. dent. Anja Zembic, Zahnarztpraxis Im Falkengarten, Nähe Hauptbahnhof an zentraler Lage, Parkhaus Manor, Treppenlift vorhanden, durchsichtige Zahnspange, spezialisiert auf Angstpatienten, Dentalhygiene, Wurzel – und Za

nachher

Zahnarzt Winterthur, PD Dr. med. dent. Anja Zembic, Zahnarztpraxis Im Falkengarten, Nähe Hauptbahnhof an zentraler Lage, Parkhaus Manor, Treppenlift vorhanden, durchsichtige Zahnspange, spezialisiert auf Angstpatienten, Dentalhygiene, Wurzel – und Za

vorher

nachher

Patientin 2

vorher

nachher

vorher

nachher

vorher

nachher

vorher

nachher

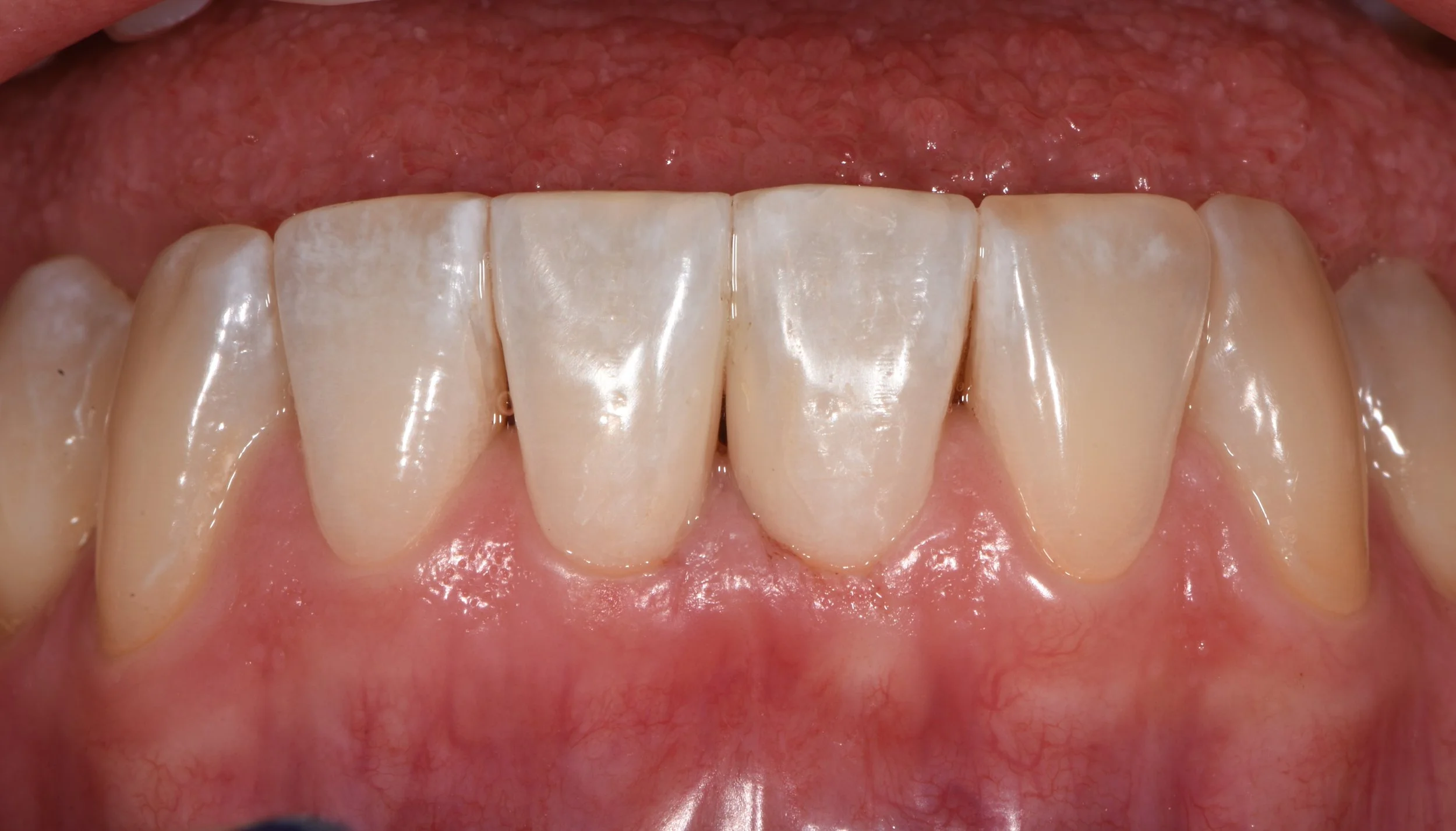
Korrektur Unterkiefer Front

Patientin 1

vorher

nachher

vorher

nachher

vorher

nachher

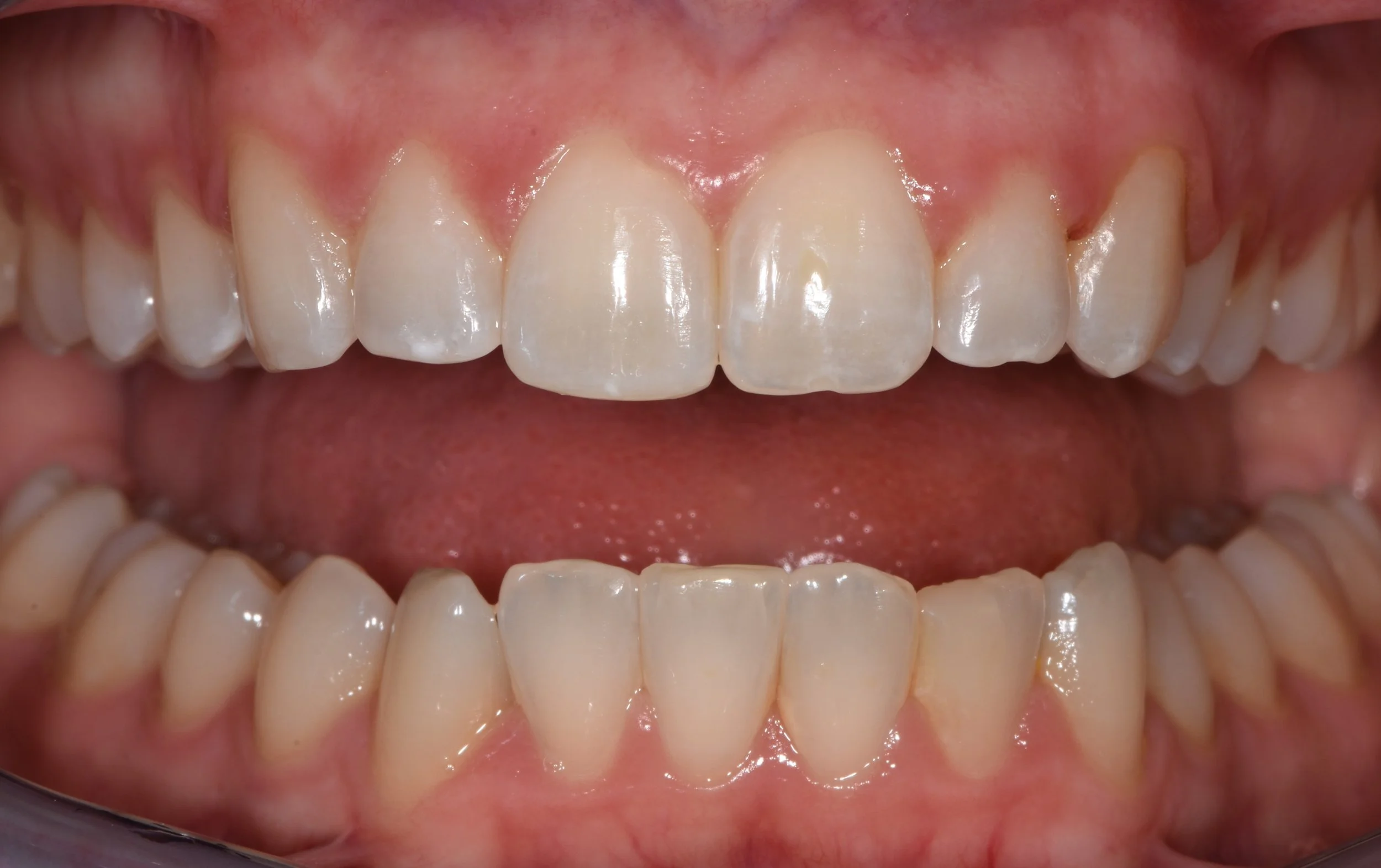
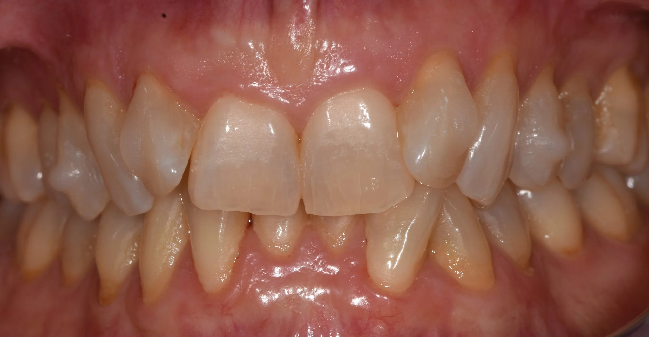
Korrektur Oberkiefer und Unterkiefer Front

Patientin 1

Zahnarzt Winterthur, PD Dr. med. dent. Anja Zembic, Zahnarztpraxis Im Falkengarten, Nähe Hauptbahnhof an zentraler Lage, Parkhaus Manor, Treppenlift vorhanden, durchsichtige Zahnspange, spezialisiert auf Angstpatienten, Dentalhygiene, Wurzel – und Za

vorher

Zahnarzt Winterthur, PD Dr. med. dent. Anja Zembic, Zahnarztpraxis Im Falkengarten, Nähe Hauptbahnhof an zentraler Lage, Parkhaus Manor, Treppenlift vorhanden, durchsichtige Zahnspange, spezialisiert auf Angstpatienten, Dentalhygiene, Wurzel – und Za

nachher

Zahnarzt Winterthur, PD Dr. med. dent. Anja Zembic, Zahnarztpraxis Im Falkengarten, Nähe Hauptbahnhof an zentraler Lage, Parkhaus Manor, Treppenlift vorhanden, durchsichtige Zahnspange, spezialisiert auf Angstpatienten, Dentalhygiene, Wurzel – und Za

vorher

Zahnarzt Winterthur, PD Dr. med. dent. Anja Zembic, Zahnarztpraxis Im Falkengarten, Nähe Hauptbahnhof an zentraler Lage, Parkhaus Manor, Treppenlift vorhanden, durchsichtige Zahnspange, spezialisiert auf Angstpatienten, Dentalhygiene, Wurzel – und Za

nachher

Patientin 2

vorher

nachher

vorher

nachher

vorher

nachher

vorher

nachher

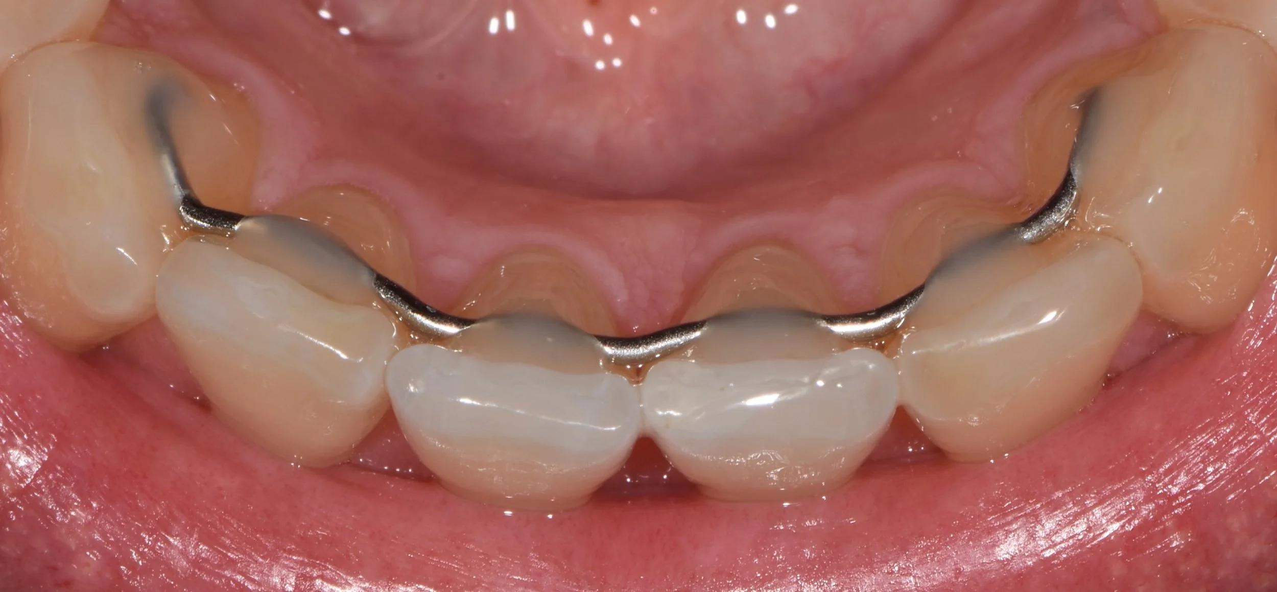
Lückenschluss Unterkiefer Front

Patient 1

Zahnarzt Winterthur, PD Dr. med. dent. Anja Zembic, Zahnarztpraxis Im Falkengarten, Nähe Hauptbahnhof an zentraler Lage, Parkhaus Manor, Treppenlift vorhanden, durchsichtige Zahnspange, spezialisiert auf Angstpatienten, Dentalhygiene, Wurzel – und Za

vorher

Zahnarzt Winterthur, PD Dr. med. dent. Anja Zembic, Zahnarztpraxis Im Falkengarten, Nähe Hauptbahnhof an zentraler Lage, Parkhaus Manor, Treppenlift vorhanden, durchsichtige Zahnspange, spezialisiert auf Angstpatienten, Dentalhygiene, Wurzel – und Za

nachher

Zahnarzt Winterthur, PD Dr. med. dent. Anja Zembic, Zahnarztpraxis Im Falkengarten, Nähe Hauptbahnhof an zentraler Lage, Parkhaus Manor, Treppenlift vorhanden, durchsichtige Zahnspange, spezialisiert auf Angstpatienten, Dentalhygiene, Wurzel – und Za

vorher

Zahnarzt Winterthur, PD Dr. med. dent. Anja Zembic, Zahnarztpraxis Im Falkengarten, Nähe Hauptbahnhof an zentraler Lage, Parkhaus Manor, Treppenlift vorhanden, durchsichtige Zahnspange, spezialisiert auf Angstpatienten, Dentalhygiene, Wurzel – und Za

nachher